Cabinet d’orthodontie des Docteurs LAPERROUSAZ, BOYER et PIERRAT, à ANNECY-LE-VIEUX (74940)

Qu'est-ce que l'orthodontie ?
Définition et objectifs

Les différents traitements
Enfants, adolescents et adultes

Les étapes du traitement
Vos différents rendez-vous, de A à Z !

Conseils et précautions
Les bonnes pratiques pour réussir son traitement !
Qu’est-ce que l’orthodontie ?
L’orthopédie dento-faciale, communément appelée « orthodontie », est la spécialité dentaire consacrée à l’étude et au traitement des troubles liés aux anomalies de la forme des mâchoires et de la position des dents.
L’orthodontie permet de corriger les malpositions dentaires ainsi que les anomalies de taille et de position des maxillaires afin de retrouver une denture fonctionnelle et esthétique.
Les différents traitements…

Entre 8 et 11 ans environ, l’enfant est en denture mixte, c’est-à-dire qu’il présente à la fois des dents de lait et des dents définitives.
Un traitement interceptif de courte durée (1 an en moyenne) peut alors corriger les anomalies apparues de façon précoce chez l’enfant.
L’objectif est de supprimer les mauvaises habitudes (succion du pouce…), de corriger les dysfonctions et les principaux décalages dentaires et squelettiques pour permettre une croissance équilibrée, diminuer le recours aux extractions de dents définitives et simplifier la phase orthodontique à l’adolescence.
Les indications les plus fréquentes :
• Succion du pouce et ses effets
• Problèmes de respiration, déglutition, phonation, mastication
• Mâchoire du haut trop étroite
• Déviation de la mâchoire du bas
• Manque d’espace pour l’évolution des dents définitives
• Dents du haut en avant
• Décalage entre les mâchoires (exemple : mâchoire du bas trop en arrière ou trop en avant)
Il existe différents appareils, fixes ou amovibles, selon les objectifs du traitement.

Chez l’adolescent, le traitement concerne les dents définitives et a pour but d’aligner les dents, de corriger les décalages dentaires et squelettiques et d‘obtenir un bon emboîtement des dents entre elles.
Les objectifs sont à la fois esthétiques (harmonisation du sourire et de la face) et fonctionnels (obtention d’une bonne occlusion, d’un équilibre squelettique et normalisation des fonctions orofaciales de respiration, déglutition, phonation et mastication).
L’appareil le plus utilisé est l’appareil multi-attache qui se compose d’attaches (appelées aussi bagues, boîtiers ou brackets) collées sur la face externe des dents et reliées entre elles par un arc métallique.
Les attaches peuvent être en métal ou en céramique pour plus de discrétion.
Il n’y a pas de limite d’âge pour commencer un traitement orthodontique. Les dents peuvent se déplacer naturellement ou par le biais d’un appareil orthodontique tout au long de la vie. À l’heure actuelle, la demande des patients adultes en orthodontie est croissante.
Bien que la plupart des patients cherchent avant tout à améliorer l’esthétisme de leur sourire, corriger la position des dents une fois adulte permet également de faciliter le brossage, d’éviter ainsi le risque de caries et de formation de tartre, de protéger les gencives, et de prévenir les déchaussements dentaires. Le traitement peut également être nécessaire avant la réalisation de prothèses, la mise en place d’implants, ou la réalisation de soins dentaires particuliers.
Dans un souci d’organisation des rendez-vous afin d’offrir une prise en charge adaptée dans des conditions optimales, nous recevons les patients adultes au cabinet uniquement le matin pour la première consultation et pendant toute la durée du traitement.


Il existe différentes techniques de traitements :
• Les attaches orthodontiques en céramique
Ce dispositif discret est composé d’attaches en céramique collées sur la face externe des dents et reliées entre elles par un fil métallique.
• L’orthodontie linguale
L’orthodontie linguale est une technique véritablement invisible puisque les attaches sont collées sur la face interne des dents.
Elle est cependant plus coûteuse et moins confortable pour le patient (irritation linguale, trouble de la phonation par zozotement, accès plus difficile au brossage).
Une solution permet de concilier la diminution de l’inconfort et la discrétion : une technique « mixte » avec des attaches collées sur la face interne au niveau des dents du haut et sur la face externe pour les dents du bas (moins visibles lors du sourire).
• Les gouttières
Il s’agit d’une série de gouttières transparentes amovibles qui doivent être portées en permanence sauf pendant les repas et le brossage des dents (22h par jour). Le changement régulier de gouttière permet un déplacement dentaire progressif.
Cette technique présente certains avantages (absence d’appareil fixe, discrétion, confort, facilité de brossage).
Elle répond à des indications précises et limitées et n’est donc pas adaptée à toutes les situations.
• Les Traitements Orthodontico-chirurgicaux
L’adulte, contrairement à l’enfant et à l’adolescent, n’a plus de potentiel de croissance.
L’orthodontie n’aura donc pas d’effets sur la taille et la position des mâchoires en l’absence de croissance.
Si les décalages entre les mâchoires sont trop importants, alors un traitement orthodontico-chirurgical est indiqué : il s’agit d’un traitement orthodontique ponctué par une intervention chirurgicale réalisée par un chirurgien maxillo-facial.
L’objectif est de corriger les décalages entre les mâchoires et de les replacer ainsi dans la bonne position quand la croissance est terminée ou insuffisante.
Il s’agit d’une prise en charge globale dans le cadre d’une réflexion pluridisciplinaire avec des objectifs esthétiques (harmonisation de la face et du sourire), squelettiques (correction des décalages entre les mâchoires), dentaires et fonctionnels.
Les étapes du traitement
Y a-t-il besoin d’un traitement orthodontique ? Est-ce le bon moment pour commencer le traitement ?
S’il est préférable d’attendre (car il n’y a pas besoin de traitement pour l’instant où ce n’est pas le moment adapté), nous nous reverrons, si nécessaire, à une date ultérieure pour surveiller l’évolution de la croissance et de la denture.
Si un traitement orthodontique est indiqué et que le moment est adéquat, nous allons réaliser un bilan orthodontique qui comprend :
• Un questionnaire médical
• Un examen clinique
• Des photographies du visage, du sourire et des arcades dentaires
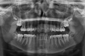
• Des radiographies : Panoramique (pour une vision d’ensemble de la denture et de l’évolution dentaire), de profil (pour voir les relations et décalages entre les mâchoires) et si nécessaire du poignet (pour estimer le stade de croissance du patient et la croissance résiduelle disponible) et de face (pour mettre en évidence des asymétries)
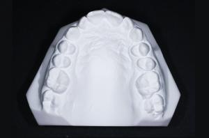
• Des empreintes dentaires pour obtenir des moulages d’étude
À partir des éléments de ce bilan orthodontique, le praticien va pouvoir analyser les données cliniques, les photos, les radiographies pour une analyse céphalométrique et les moulages pour établir un diagnostic précis et proposer un traitement adapté.
Lors de ce deuxième rendez-vous, après étude des éléments du bilan orthodontique, le praticien expose au patient et/ou à ses parents :
• Le diagnostic et le traitement proposé : appareil, durée du traitement (variable mais généralement comprise entre 18 et 36 mois chez l’adolescent et l’adulte, 6 et 18 mois chez le jeune enfant), contraintes, bénéfices, risques, déroulement du traitement, organisation et fréquence des rendez-vous…
• Les aspects administratifs : explication et remise de plusieurs documents (demande d’entente préalable pour une prise en charge par la sécurité sociale pour les patients de moins de 16 ans, devis et consentement éclairé).
Le traitement actif est le traitement orthodontique à proprement parlé. Il débute à la pose de l’appareil et se termine à sa dépose.
La pose de l’appareil est un rendez-vous relativement long (environ 1h) car il comprend non seulement la mise en place de l’appareil mais également un temps essentiel pour prodiguer les conseils et précautions indispensables au bon déroulement de l’ensemble du traitement.
Ce rendez-vous est fixé sur le temps scolaire pour pouvoir offrir la meilleure prise en charge possible, prendre le temps de donner toutes les explications nécessaires et répondre à l’ensemble des questions éventuelles.
Les rendez-vous de suivi sont les rendez-vous en cours de traitement pour réaliser les différents contrôles, réglages et activations de l’appareil. Leur durée et leur fréquence est variable et les rendez-vous sont fixés dans la mesure du possible en dehors du temps scolaire.
La dépose de l’appareil a lieu à la fin du traitement actif lorsque les objectifs thérapeutiques esthétiques et fonctionnels sont atteints. Ce long rendez-vous est également fixé sur le temps scolaire. Après la dépose de l’appareil débute la période de contention.
Cette phase est aussi importante que le traitement lui-même.
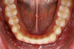
De façon pratique, des fils métalliques très fins sont collés à l’arrière des dents antérieures en haut et en bas. Ils ne sont ni visibles, ni gênants. Leur rôle est de conserver l’alignement des dents à la fin du traitement orthodontique pendant la phase de stabilisation des tissus de soutien qui entourent la dent (os et gencive), puis au cours de la maturation physiologique (vieillissement).
La première année après la dépose de l’appareil, une gouttière de contention doit être portée sur les dents du haut d’abord toutes les nuits, puis le port est diminué jusqu’à être arrêté complètement au bout d’un an.
Cette période de contention dure en moyenne 1 à 2 ans et permet chez l’adolescent de surveiller l’évolution de ses dents de sagesse et le déroulement de la fin de sa croissance.
Conseils et précautions
Temps d’adaptation
Durant les premiers jours de port d’un appareil dentaire, il est normal de ressentir une légère gêne. Les dents seront dans les premiers temps plus sensibles, notamment lors de la pression sur celles-ci, ou au contact d’une nourriture dure.
Pendant les premiers mouvements et déplacements dentaires, ces sensations sont totalement normales et inévitables. Cette période d’adaptation, variable selon les patients, dure en moyenne 3 à 5 jours.
Pour soulager la sensibilité dentaire
• Manger des aliments particulièrement mous pendant la première semaine pour réduire la sensibilité dentaire ressentie à la pression. (Eviter par exemple une viande trop ferme et privilégier plutôt soupe, poisson, purée, pâtes, compotes…)
• Utiliser des antalgiques (paracétamol) selon la prescription de l’orthodontiste
Pour éviter l’irritation des lèvres et des joues
Une irritation des muqueuses buccales (lèvres, joues) peut survenir, en particulier dans les premiers jours qui suivent la pose de l’appareil, la bouche n’étant pas encore habituée.
• Appliquer de la cire de protection au niveau de la zone irritante : la cire orthodontique se dépose en petite boule sur la ou les attaches qui sont à l’origine de l’irritation, afin de les recouvrir intégralement. L’idéal est de renouveler cette opération jusqu’à cicatrisation, après chaque brossage ou lors de l’ingestion de cire, qui est sans gravité pour le patient.
Appareil fixe et hygiène bucco-dentaire
Le port d’un appareil d’orthodontie fixe rend plus difficile l’accès de la brosse à dents, favorisant ainsi l’accumulation de la plaque dentaire.
En cas de brossage insuffisant, cette accumulation de plaque dentaire peut entraîner une inflammation des gencives (gencives gonflées et qui saignent), des taches de déminéralisation sur les dents voire des caries autour des bagues.
C’est pourquoi, durant toute la durée du traitement, il convient de porter une attention toute particulière au brossage, et ce, après chaque repas.
Il est préférable d’utiliser des brosses à dents avec des têtes plus petites et aux poils souples, qui élimineront plus facilement la plaque dentaire près des attaches collées sur les dents, sans irriter la gencive. Lors du brossage, l’idéal est de nettoyer chaque surface des dents, puis de faire le contour des attaches et de brosser derrière les fils.
Pour compléter le brossage et atteindre les zones difficiles d’accès pour la brosse à dents, l’utilisation de petites brossettes flexibles permet d’accéder entre les composantes de l’appareil d’orthodontie et de déloger correctement la plaque dentaire.
Appareil amovible et hygiène bucco-dentaire
Les appareils amovibles, bien que plus facilement nettoyables, demandent une hygiène bucco-dentaire et un entretien stricts.
En plus du brossage minutieux des dents en utilisant les instruments de brossage nécessaires, il est impératif de bien penser au nettoyage de l’appareil quotidiennement. Il doit être nettoyé en utilisant une brosse à dents, et peut être trempé de temps en temps dans une solution nettoyante adaptée pour éliminer les dépôts calcaires du tartre.
Lorsqu’il n’est pas porté, l’appareil amovible doit être conservé dans une boîte en plastique adéquate et aérée, que nous vous fournirons. Du fait de sa composition majoritaire en résine, il ne faut en aucun cas le plonger dans de l’eau chaude ou bouillante.
Lors du port d’un appareil d’orthodontie, il convient de prendre plusieurs précautions alimentaires pour ne pas déformer ou casser l’appareil. Il faudra aussi veiller à perdre certaines mauvaises habitudes.
Aliments interdits
• Aliments collants : chewing-gum, caramel, carambar, nougat et autres bonbons collants…
• Aliments durs : cacahuètes, pain, croûte de pizza, pommes et carottes crues…
• Recommandations : couper la pomme en quartier avant de la manger, privilégier le pain de mie pour les sandwiches…
Minimiser le sucre
Pour prévenir la formation de caries, il faudra aussi diminuer la consommation d’aliments et boissons sucrés :
• Eviter le grignotage
• Manger beaucoup moins de gâteaux, biscuits, bonbons…
• Boire beaucoup moins de sodas, jus de fruits, sirops…
Habitudes à perdre
• Succion du pouce ou de la tétine
• Onychophagie (le fait de se ronger les ongles)
• Utilisation de ses dents pour ouvrir ou découper des objets
• Mordiller des stylos
Au cours d’un traitement orthodontique multi-attache, il est fréquent que l’orthodontiste demande au patient de porter des élastiques. Cette phase nécessite une parfaite coopération de la part du patient.
But des élastiques
• Corriger le décalage entre les 2 arcades dentaires
• Déplacer les dents dans la direction donnée par les élastiques
• Faciliter la rencontre des dents et des 2 mâchoires
Port des élastiques
• Les élastiques sont le moteur du traitement orthodontique
• Pour la position et la durée du port des élastiques, il faut suivre strictement les prescriptions de l’orthodontiste
• Les élastiques doivent être retirés pendant le repas et le brossage des dents, mais il ne faut pas oublier de les remettre aussitôt après
• Les élastiques doivent être changés une fois par jour
• Plus d’élastiques ? surtout ne pas attendre le rendez-vous suivant : il faut venir en chercher au cabinet ou bien nous téléphoner pour en recevoir par courrier.
• Lorsque les élastiques ne sont pas portés régulièrement, les dents ne se déplacent pas et reviennent à leur position d’origine. Le traitement n’avance pas et durera plus longtemps.
1 JOUR SANS ÉLASTIQUE, C’EST 1 SEMAINE DE TRAITEMENT SUPPLÉMENTAIRE !!